据外媒报道,一个国际科学家团队发现了一种材料,可以使锂离子电池在不牺牲电池寿命的情况下,拥有更多的能量。该团队发现锑晶体在充放电循环过程中会自发地、可逆地中空,这一备受期待的特性可以在不影响安全的前提下促进更大的能量密度。

锂离子电池通过在两个电极(负电的阴极和正电的阳极)之间来回传输离子来产生电力。但在目前的状态下,它们已经到了极限。增加锂离子流动的努力因阳极材料的老化而受阻,阳极材料在充电和放电过程中会膨胀和收缩,导致更大的压力,从而降低电池的寿命。
科学家们在“yolk-shel ”颗粒中看到了一个解决方案,由于中空的空隙可以适应电池充放电时的体积变化,同时提供稳定的外表面,从而提高循环能力。长期以来,将金属合金阳极材料换成这些颗粒一直被视为一种有前景的途径,但事实证明,以具有成本效益的方式制造它们是有问题的。
“有意地对中空纳米材料进行工程化已经有一段时间了,这是一种很有前途的方法,可以提高高能量密度电池的寿命和稳定性,”来自佐治亚理工学院的研究作者Matthew McDowell说。“问题一直是,以商业应用所需的大尺度直接合成这些中空纳米结构是具有挑战性的,而且成本很高。我们的发现可以提供一种更简单、精简的过程,以类似于有意设计的中空结构的方式改善性能。”

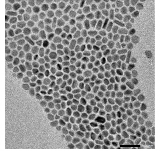
来自佐治亚理工学院、苏黎世联邦理工学院和橡树岭国家实验室的McDowell和他的同事们的发现是从直径是人类头发直径的千分之一的微小颗粒开始的。研究小组发现,这些氧化涂层锑纳米晶体会在电池循环过程中自发地中空,而不是像预期的那样膨胀和收缩。
使用高分辨率电子显微镜观察小型测试电池中的纳米颗粒,证实了这种中空行为,并且发现只有在直径小于30纳米左右的颗粒中才会出现。它的工作原理是通过弹性氧化层,使材料在离子流入阳极时膨胀,但在离子被移除时产生空隙,而不是导致典型的收缩行为。
“当我们第一次观察到独特的中空行为时,这是非常令人兴奋的,我们立即知道这可能对电池性能有重要的影响,”McDowell说。
虽然这些中空的纳米颗粒是一个令人兴奋的发现,但对于该团队来说,未来还有一些挑战。锑本身价格昂贵,因此目前还没有用于生产电池电极。然而,科学家们怀疑锡等其他更便宜的材料也可能表现出同样的空心行为。他们现在希望探索这些可能性,并在更大的电池上进行研究,以期努力实现商业应用。
“对其他材料进行测试,看看它们是否会根据类似的空心机制进行转化,这将是非常有趣的,”McDowell说。“这可以扩大可用于电池的材料范围。我们制造的小型测试电池显示出有希望的充放电性能,因此我们希望在更大的电池中评估这些材料。”
该研究发表在《自然-纳米技术》杂志上。

- 最新评论
- 我的评论