
电池安全系列介绍到电池热失控产生的烟气可能含有HF等多种有毒有害气体。令人遗憾的是目前学术界多关注研发新材料、提升电池密度,工业界多关注如何降成本、提高利润和竞争力,锂离子电池相关的毒性一直是被行业内所忽视的。总体来看,经过多年的发展,锂离子电池在正常使用阶段是非常安全的,电池可能给人体带来毒性危害主要发生在三个场景:原材料生产制造、电池热失控和电池回收。原材料厂的生产环境相对较恶劣,不仅涉及到众多化学品,还有可能产生大量粉尘;电池热失控过程不仅释放出热量,还伴随着有毒有害烟气;动力电池回收过程复杂,同样需要使用众多化学品。对未知最好抱着谨慎的态度,在以上三个场景中无论是企业还是个人都应格外注意人身安全。
维基百科对“毒性”的定义为:毒物的化学分子或化合物到达生物敏感部位引起机体损害的能力。事实上毒物是非常宽泛的概念,需要根据具体条件进行分析。例如水是生物体必不可少的一部分,但我们还是经常听到“水中毒”的概念;空气中含有78%的氮气,但当氮气浓度进一步提升时生物同样会窒息而亡,此时氮气成了毒物。因此,一般所讨论的毒物和毒性都是正常条件而言,看到本文标题的“毒性”二字也丝毫不必惊慌。根据化学物质半致死率的不同,毒理学家对物质毒性进行了分级,如表1所示。

表1 化学物质毒性分级表
目前锂离子电池中最常用的正极材料主要是LiFePO4 (LFP)、LiCOO2 (LCO)和LiNixCoyMnzO2(x+y+z=1) (NCM)。其中LFP由于结构稳定且不含有毒有害元素,一般认为没有毒性或毒性较低;而LCO和NCM则不然,其分子中含有毒重金属元素Ni、Co或Mn,具备有毒物质潜质。以金属Co为例,Co精细粉与碳化钨粉等混合烧结得到硬质材料,可作为金刚石的打磨工具使用。1984年,Demedts M等报道了五名金刚石打磨工因使用含Co工具身患间质性肺病的病例,且Co被认为是其中唯一的毒性因素。C. Sala等详细研究了硬质材料厂空气中Co含量(表2),发现采取技术控制确实能降低空气中Co含量,但很多时候即使采取技术控制空气中Co含量依然会超过限定值(0.05 mg/m3)。本文拟简要介绍下LCO和NCM正极材料毒性研究结果,抛砖引玉,供大家参考。

表2 五个小型金刚石打磨工具厂采取技术控制前后空气中Co含量(mg/m3)对比
一.LCO

图1 不同浓度nano-LCO和micro-LCO对细胞致死率对比:(a)不同浓度nano-LCO和micro-LCO对细胞致死率统计结果;(b)共聚焦激光扫描显微镜结果,其中红色所示为F-actin cytoskeleton(注:真核细胞中蛋白的一种),蓝色所示为核酸。

图2 不同浓度nano-LCO和micro-LCO对细胞TNF-α(肿瘤坏死因子-α)和IL-8(白细胞介素-8)水平的影响,其中Positive组所用为脂多糖、Negative组所用为细胞培养基。
由于具有高体积能量密度,LCO一直是消费类锂离子电池正极材料的首选。Brog等合成了一系列nano-LCO并对比了nano-LCO和micro-LCO对细胞的危害作用(图1和图2)。图1结果显示,nano-LCO和micro-LCO对细胞的毒害作用相当,但二者的引入均显著提高了细胞的死亡率。如空白组细胞的死亡率为0.71%左右,而低浓度nano-LCO或micro-LCO的引入使细胞死亡率飙升至7.20%左右和9.49%左右,死亡率提高了10倍。TNF-α和IL-8常用于表征细胞的炎症反应。从图2可以看出,nano-LCO和micro-LCO对TNF-α的释放量没有显著影响;nano-LCO对IL-8释放量没有显著,而micro-LCO会显著提高IL-8的释放量,且micro-LCO浓度越高IL-8释放量越大。

图3 NaCl、SiI (SiO2)、LiCl、LFP、LTO和LCO对C57BL/6小鼠亚慢性炎症和肺纤维化的影响。其中NaCl为对照组,LiCl量为0.85 mg,其他物质量为2 mg;图a为LDH(乳酸脱氢酶)活性,图b为蛋白浓度,图c为OH-proline(羟脯胺酸)浓度,图d为Macrophages(巨噬细胞)数量,图e为Neutrophils(中性粒细胞)数量,图f为Lymphocytes(淋巴球)数量,图g中HO-1代表氧化类物质,图h中HIF-α为缺氧诱导因子。图i-m依次为吸入NaCl、SiI (SiO2)、LiCl、LFP、LTO和LCO颗粒后小鼠肺细胞截面图。
Sironval等以NaCl、LiCl和SiI (SiO2)为参照物,对比研究了C57BL/6小鼠吸入LFP、LTO和LCO后的影响(图3)。六种物质中唯有LCO导致羟脯胺酸浓度和巨噬细胞数量显著上升。从肺细胞截面图结果不难发现,LFP和LTO在肺组织中多呈聚集态且肺组织形态同对照组形态相比无显著差别;而吸入SiI和LCO的小鼠肺组织中均能观察到肺胶原的聚集,呈纤维化趋势。以上结果表明,LFP、LTO和LCO三种正极材料中LCO能造成更严重的亚慢性炎症和肺纤维化趋势。
二. NCM

图4 大型蚤(Daphnia magna)

图5 不同浓度LCO(图A)和NCM333(图B)在21 d慢性毒性测试中对大型蚤(Daphnia magna)的毒性
作为目前动力电池最主流的正极材料,NCM的毒性值得关注。BOZICH等以水生生物大型蚤(Daphnia magna)(图4)为受试生物,以该蚤的繁殖率为指标,对比研究了LCO和NCM333在浓度0.1-25 mg/L范围内的急性毒性和慢性毒性。结果显示:LCO和NCM333在48 h急性毒性测试中未对大型蚤造成显著毒性;但在21 d慢性毒性测试中对大型蚤的繁殖造成显著影响,其中如果要保证大型蚤生存,LCO浓度和NCM333的浓度分别不能超过0.25 mg/L和1.0 mg/L(图5)。值得注意的是,该作者在溶液离子中并未检测到Mn元素。作者还测试了两种材料在溶液中得到的上清液的毒性,发现与颗粒的毒性并不一致,由此推测LCO和NCM333对大型蚤的毒性并非简单两种材料中金属离子溶出导致。

图6 微生物S. oneidensis

图7 不同浓度NCM333下S. oneidensis氧消耗量(a)和吸光度(b)变化
Hang等以微生物S. oneidensis为受试生物研究了NCM333的毒性作用。从图7a可以看出,NCM333 (5 mg/L)存在时S. oneidensis的生长对数期较正常条件(0 mg/L)延后了约30 h。在微生物学中菌液的吸光度常用于表征溶液中微生物的浓度。图7b显示,随着NCM333浓度的不断增加,菌液的吸光度值不断降低。以上结果表明NCM333的存在抑制了S. oneidensis的正常生长繁殖。

图8 (a)NCM (5 mg/L)分散于培养基中在不同时间下检测到的各金属离子浓度;(b)NCM (50 mg/L)分散于培养基72 h前后通过XPS测得的表面Ni、Co、Mn元素浓度

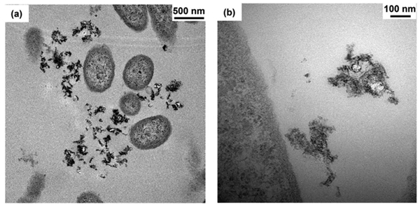
图9 S. oneidensis在含NCM333(5 mg/L)培养基中培养30 min后的TEM结果
固体在溶液中存在一定的溶解。图8a显示NCM333在微生物培养基中溶解释放最多的重金属元素为Ni,其次是Co和Mn,该结果与图8b通过XPS得到的NCM333溶解前后颗粒表面Ni、Co、Mn元素浓度相一致。以上结果表明NCM333在溶液体系中优先溶解释放Ni元素,其次是Co元素,最后才是Mn元素。图9的TEM结果显示NCM333颗粒同S. oneidensis细胞之间并不存在直接接触,表明NCM333所造成的毒性是Ni、Co、Mn溶出所致,而不是颗粒同微生物细胞的直接相互作用。
此外,Hang等研究了不同形貌NCM对S. oneidensis MR-1的毒性,Gunsolus等研究了Li0.68Ni0.31Mn0.39Co0.30O2、Li0.61Ni0.23Mn0.55Co0.22O2和Li0.52Ni0.14Mn0.72Co0.14O2对S. oneidensis的毒性,感兴趣的朋友可以去了解下,在此不赘述。
感 想:
(1)本篇介绍正极材料毒性不是哗众取宠,目的是希望各位朋友能心怀安全意识,对未知有份敬畏之心;
(2)毒性是相对的概念,不同受试生物、试剂、步骤、方法都有可能导致不同的结果,应辩证看待;
(3)电池厂一线20多岁的年轻朋友居多,不知道为什么,每次看到他们青春的脸庞,内心总有一丝莫名的忧伤。

- 最新评论
- 我的评论